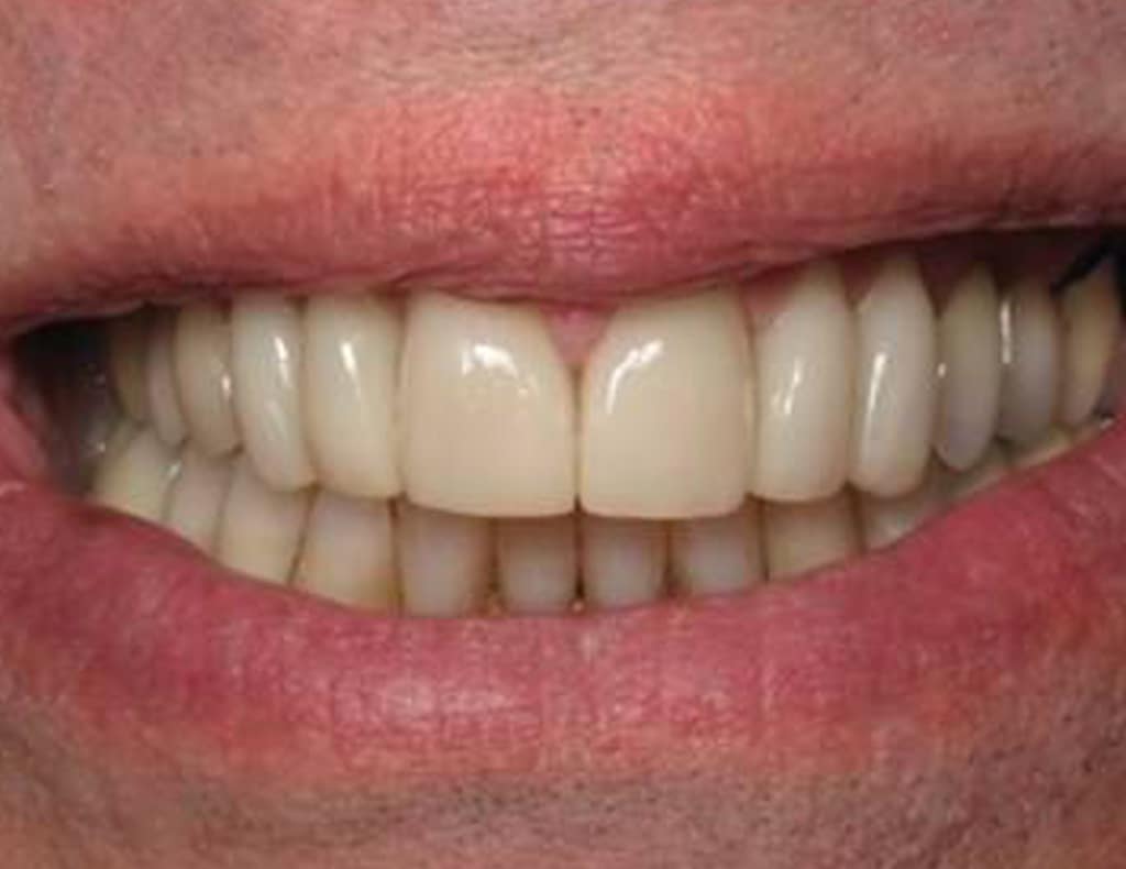
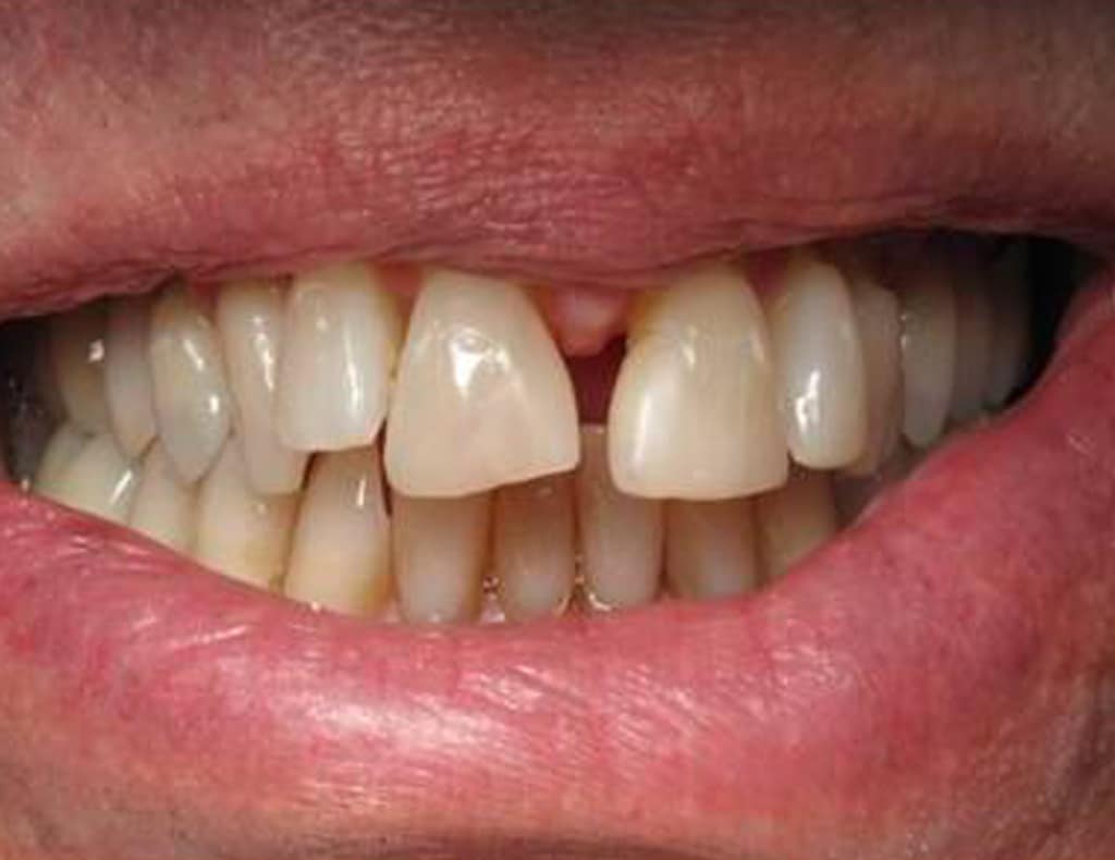
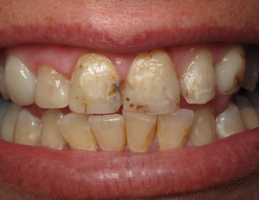
smile gallery

Actual patient before photo Actual patient after photo
Actual patient before photo Actual patient after photo
Actual patient before photo Actual patient after photo
Actual patient before photo Actual patient after photo
Actual patient before photo Actual patient after photo
Actual patient before photo Actual patient after photo
Actual patient before photo Actual patient after photo
Actual patient before photo Actual Patient after photo

patient testimonials

“I would hide my teeth because they had yellowed over the years. Dr. Farless recommended ZOOM!™ whitening. Now my teeth are sparkling white and I love my smile again!”

  • Chuck

“Dr. Farless did such an amazing job on my veneers. He was so nice and made sure I was comfortable the entire time. He has given me the smile I have always wanted!”

  • Tessa

“Dr. Farless and all the team members are always kind, helpful, and very efficient. They explain things well and do ‘pain-free’ work. I think they’re all fantastic.

  • Dorris

“I had 19 crowns done at one time. The experience went exceptionally well. Dr. Farless and his team were wonderful. Dr. Farless explained everything beforehand and then again as I went through the procedure.”

  • Rhonda

Smile More with Farless Dental Group

The Farless Dental Team will meet your family and cosmetic dentistry needs and provide the comfort and peace of mind you deserve!