Modern Dental Care in Greensboro

Dental Technology

Our practice is constantly updated with the latest advancements in dental technology, and our team is trained in modern dentistry techniques.

Learn about dental technology

Caring Team

Every member of Farless Dental Group is passionate about helping patients achieve their best smile yet.

Meet The Team

Amazing Results

You don’t have to take our word for it. See the amazing results our patients are achieving here with a peek at the smile gallery.

View Gallery

Discover the difference personalized, compassionate dental care with state-of-the-art tools can make.

Your dental care team should make you feel like family. Our approach to dentistry at Farless Dental Group is to always put the patient first. We strive to build a trusting relationship from the very start by making you feel respected and empowered to care for your oral health. We do this by listening to your concerns and desires for your smile, creating custom treatment plans to achieve your goals, and by never making you feel pressured into anything you don't feel comfortable pursuing.

From routine cleanings or a new dental crown to extensive cosmetic smile makeovers, we are here to help you in any way we can.

Let us help you and your family smile!
Call today to set-up your initial appointment.

Drs. McLennon, Farless, and Blaylock

Meet the Team

The Farless Dental Group team is a tight-knit family that shares the same goals for providing a superior level of dental care to individuals and families in Greensboro. Our team consists of two expert dentists, skilled dental hygienists, talented dental assistants, and wonderful office administrators. We are a hometown dentist office with the latest technology, tools, and training to better care for your dental needs.

white dental tools icon representing general dental care

General Dental Care

Prevent dental problems and maintain a healthy smile for life.
LEARN ABOUT GENERAL DENTAL CARE

white tooth and shield icon representing restorative dentistry

Restorative Dentistry

Erase damage from decay and find permanent solutions for your missing teeth.
LEARN ABOUT RESTORATIVE DENTISTRY

What are you looking for?

Services We Offer.

green dental implant icon

Dental Implants

Modern dental implants are a permanent solution for a missing tooth. Our beautiful dental implants last a lifetime, won’t decay, and preserve healthy facial bone and muscle structure. Our dentists are specifically trained in the precision placement of dental implants.

Learn about dental implants
green tooth icon

Snap-In Dentures

Say goodbye to dentures that slip and hello to Locator secured, snap-in dentures. With only a few dental implants per arch and the Locator system attachment, we can help you achieve a stronger, healthier smile than what's possible with traditional dentures. You won't have to worry about slipping or uncomfortable rubbing again.

Learn about snap-in Dentures
green invisalign icon

Clear Aligners

Teens and adults who want a straighter smile don't always need to wear braces. We offer Invisalign, ClearCorrect, and SureSmile for patients who want to straighten their teeth with a subtle clear aligner system. As an added bonus, these systems can even expedite your treatment time frame.

Learn about Clear Aligners
green tooth icon with dental crown

Same Day Crowns

With CEREC technology, you can walk in with a tooth in need of repair and out in the same visit with a dental crown. The process includes all digital scanning and impressions and the milling of your custom, precisely made crown right in our dental practice. No need for a temporary crown!

Learn about crowns
green dental tools icon representing prevention

Periodontal Therapy

Gum disease left untreated can advance to periodontitis, resulting in permanent damage to gum tissue, teeth, and bone. We take swift action against gum disease with customized periodontal therapy treatment plans.

Learn about Perio Therapy
green x-ray icon with tooth representing digital imaging

Dental Technology

We outfit our office with dental technology that helps us perform better as well as helping patients feel as confident in our care as possible. From complete digital imaging and a soft tissue laser to specialized tools that can detect tooth decay before an X-ray can, you'll enjoy our dental tech and tools as much as we do.

Learn about technology
white tooth icon with dental crown

Cosmetic Dentistry

From professional whitening to porcelain veneers, our cosmetic dentistry services are tailored to bring your vision of your best smile to life.
LEARN ABOUT COSMETIC DENTISTRY

white tooth icon with laser representing laser dentistry

Laser
Dentistry

Laser dentistry provides patients needing soft-tissue oral surgery a pain-free experience and a much more pleasant recovery period while healing.
LEARN ABOUT LASER DENTISTRY

Our Mission

Our mission is to exceed your expectations of what great dental care can be. Our team and practice is rooted in our core values of compassion, integrity, and expertise.

We are invested in our patients’ needs and goals, we promote a mutually respectful environment, and we are very knowledgeable in oral health and advanced dental technology. Our compassion, integrity, and expertise allow us to bring to life the vision we have for our approach to dentistry.

Everyone deserves compassionate dental care that truly values patients and their experience. Our vision is to continue this exceptional level of dental care in the Greensboro community by maintaining a team of dedicated dental professionals who incorporate meaningful dental technology that helps patients see incredible results in their oral health.

Ready for an incredible dental care experience?

Take the first step right now!

Book Appointment

You can schedule your appointment at any time. During business hours, give our office a call. If we're closed, don't wait! Fill out our online request form and we'll get back to you.

REQUEST APPOINTMENT

Fill Out New Patient Forms

Get a head start on your first appointment with us by filling out your New Patient forms online. When you arrive and check-in you'll be able to relax rather than worry about paperwork.

FILL OUT Forms

GET INSPIRED

You know you want a better smile, but are you unsure of what changes you'd like? Check out our Smile Gallery to get inspired by before-and-after photographs of real patients just like you.

View SMILE Gallery

Our Patients' Results and Reviews Speak Volumes

From our Smile Gallery to the numerous testimonials on our website and social media, our dedication to our patients shows in their positive responses. We encourage prospective patients to review our website, look over our social media, and read reviews posted by new and long-time patients. When you're confident you’re ready to experience the Farless Dental Group difference yourself, we'll be here ready to help you on your journey toward a stunning, healthy smile.

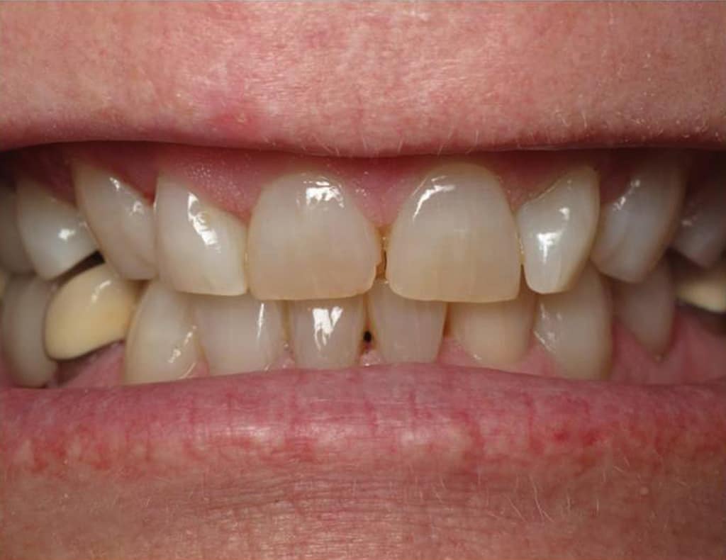
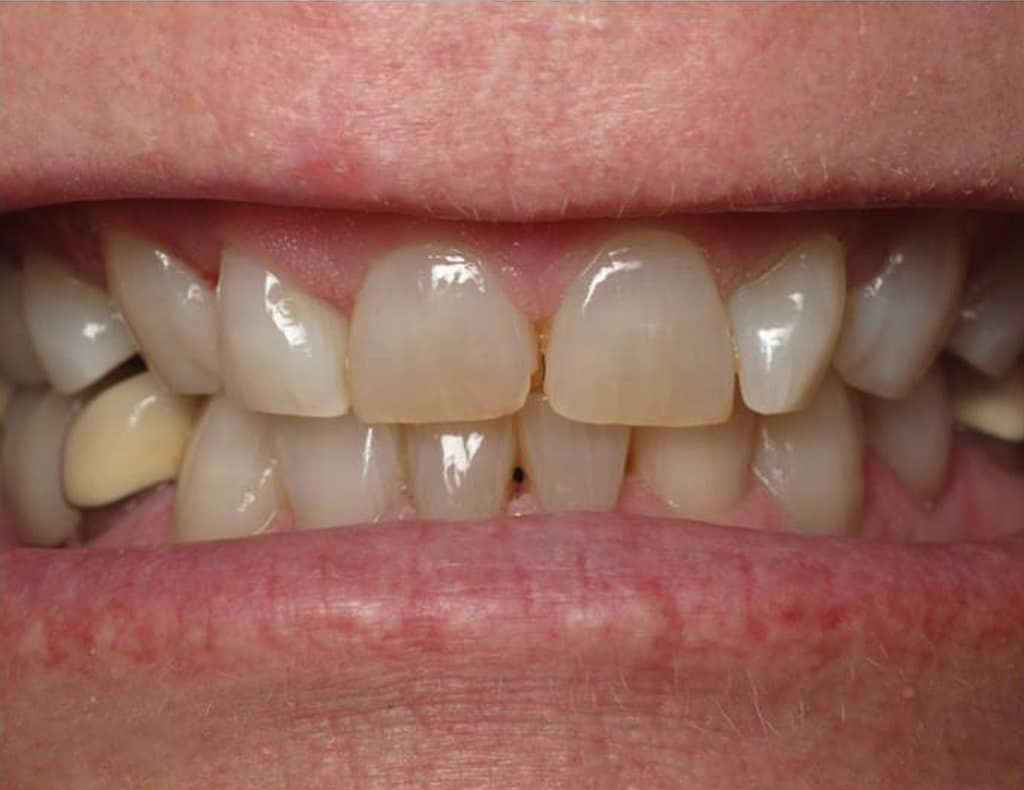
Actual patient before photo Actual patient after photo

Contact Us Today!

Farless Dental Group

OFFICE HOURS:
Mon-Wed: 7:30am – 4:30pm
Thurs: 7:30am – 3:00pm
Lunch 12:00 – 1:00pm
Friday: Closed

Request An Appointment.

Fill out the form below, and we will contact you to confirm your appointment request.
If you have a dental emergency, please call 336.282.2868.